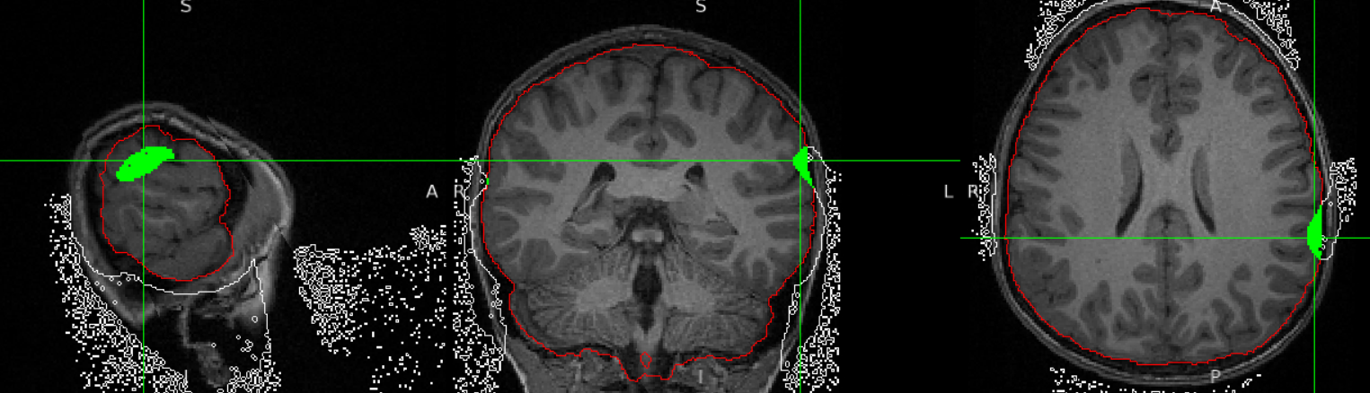
The attached picture shows a problem with the refacing ear mask clipping into the brain. In the screenshot, the grayscale image is the original MPRAGE (without refacing), the white outline is the difference between the original and _deFaced.nii (essentially where the refacing mask ends up), the red outline is a quick brainmask using Freesurfer's synthstrip, and the green is where the refacing mask and brainmask overlap.
This is just one example, but with this particular population, it happens roughly 10% of the time, with varying degree of severity. I'm wondering if this is because the population is kids, and so the distance between the surface of their brain and skin is a lot of times less than 10 1mm voxels, and maybe the ear mask was generated with adults? I also wonder if wearing the standard Siemens headphones, which are maybe even compressing what little tissue is there even a few more voxels is making the problem even a little worse.
So, I would like to at least try the refacing again, but tweaking the ear mask. I understand that I need to provide an image in the space of MCALT_FaceTemplate_T1.nii (which I extracted from the zip file), but I'm not clear exactly what the image needs to be. What I want to do is NOT replace the ears, but I don't know what I need to do exactly. Do I make a mask on MCALT_FaceTemplate_T1.nii where the general face area is 1, and the back of the head is 2? Is there a mask like this that already exists somehwere in the zip file that I can edit?
Thanks for your help!
NOTE: This was using version 0.3.5 (docker) on DICOM data from a 3T Siemens Trio.
Jonathan,
The direct answer to your question is that you want to edit MCALT_FaceMask.nii, also in the .zip file.
Another possible workaround could be to use the TIVTolerance options and set them a little larger, but you need to QC the results carefully to make sure you don't start to retain too much of the eyebrow ridge and render the results not-really-deidentified.
The "long answer" is that this probably stems from your population. We have only tested this on adults 30+. How young are these "kids"? Developing support for pediatric populations (with the needed extensive validation) is in our eventual roadmap, but for the current versions it would be "off label" and "at your own risk". Our project is funded by the National Institute on Aging, so it has not been a top priority.
Chris Schwarz
Associate Professor of Radiology
Mayo Clinic
The participants range 11-13 years old. I will try editing to remove the top third or so of the ear mask region, see if that helps. I will also try tweaking the TIVTolerance options, but like you said, I don't want to compromise the rest of the refacing.
Thanks for the help!
Originally posted by Jonathan Koller:
The participants range 11-13 years old. I will try editing to remove the top third or so of the ear mask region, see if that helps. I will also try tweaking the TIVTolerance options, but like you said, I don't want to compromise the rest of the refacing.
Thanks for the help!
Jonathan,
You may very well be the first person to run mri_reface on people
below ~25, at least as far as anyone's ever reported it back to me.
We will try to make "young adult" and "peds" templates someday, but
I am not surprised that you having some issues. Based on some
previous work by others, https://onlinelibrary.wiley.com/doi/full... worse
performance on younger heads is a general problem across many
available de-facing software (though ours wasn't specifically
tested), and those findings were in ages 19-31, so you are quite a
bit younger still.
I would be grateful if you could continue to share your progress to help inform our further development.
Thanks,
Chris
