[Mrtrix-discussion] MRTrix Track visualization - fibernavigator

Hak Fujiyama Hak.Fujiyama at faber.kuleuven.be
Thu Jun 18 01:11:36 PDT 2015


Dear Jean-Christophe,

I have been searching for answers to my issue with the visualizations of tracts created by MRTRIX. I came across your post on the Mrtrix-discussion and thought that you may be kindly help me.
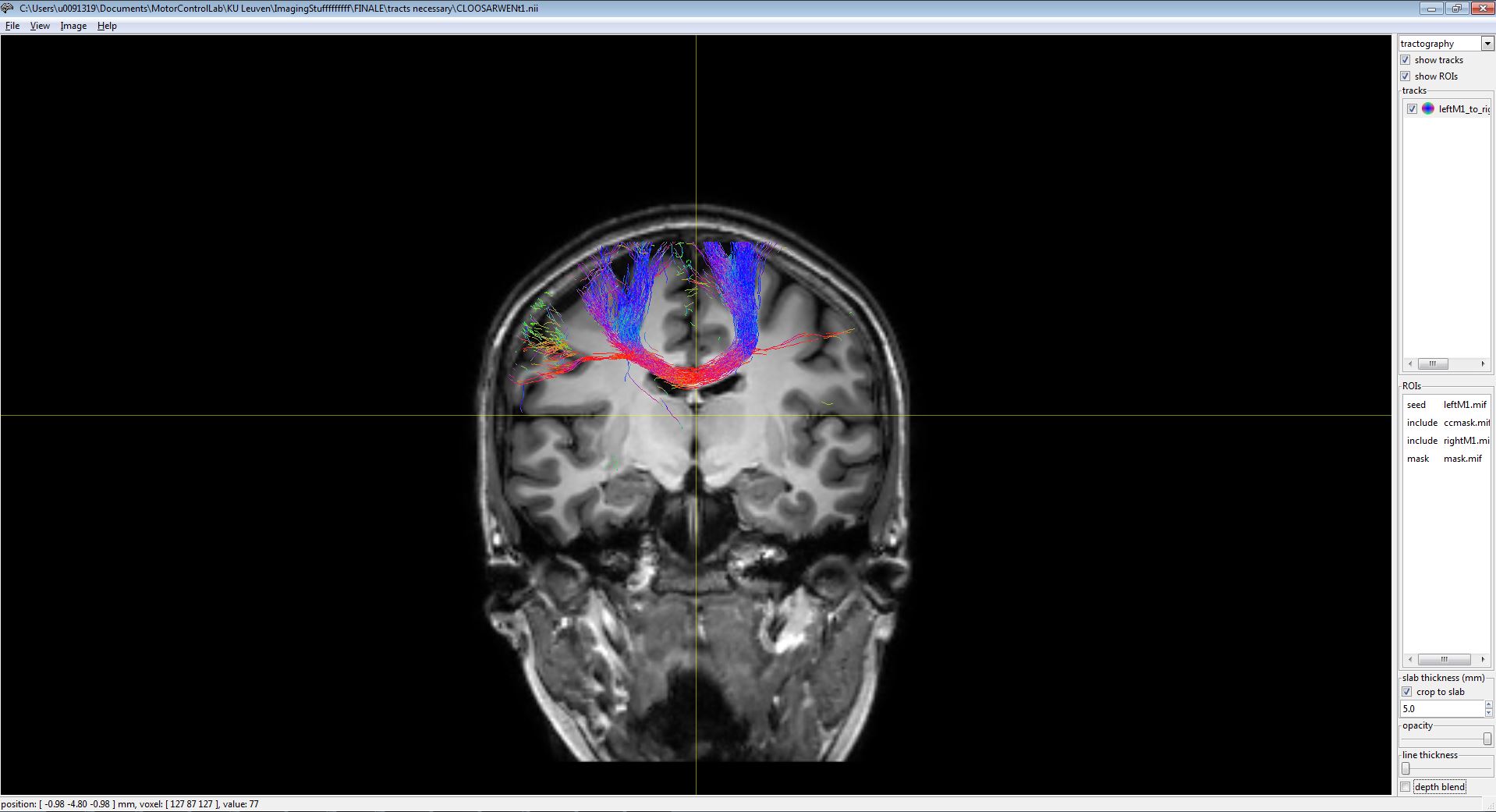
I am trying to visualize tracts created by mrtrix with fibernavigator.
But somehow our tracts doesn't align with the individual T1 image (please see attached "m1-m1tckWithT1FiberNav.JPG"), though it does in Mrview (please see attached "m1-m1tckWithT1mrtrix.JPG").
I would appreciate if you could help me on this issue.
Thank you for your help in advance.
Best regards,
Hak



>>>>>>>>>>>>>>>>>>>>>>>>>>>>>>>>>>>>>>>>
Hakuei Fujiyama, PhD
FWO Postdoctoral Research Fellow
Movement Control and Neuroplasticity Research Group
Department of Kinesiology
K.U. Leuven
Tervuurse Vest 101
B-3001 Heverlee, Belgium
Tel: +32  (0)16 379249
Fax: +32  (0)16 329197
E MAIL ADDRESS: Hak.Fujiyama at faber.kuleuven.be<mailto:Hak.Fujiyama at faber.kuleuven.be>

-------------- next part --------------
An HTML attachment was scrubbed...
URL: <http://www.nitrc.org/pipermail/mrtrix-discussion/attachments/20150618/9cdd396f/attachment-0001.html>
-------------- next part --------------
A non-text attachment was scrubbed...
Name: m1-m1tckWithT1mrtrix.JPG
Type: image/jpeg
Size: 146637 bytes
Desc: m1-m1tckWithT1mrtrix.JPG
URL: <http://www.nitrc.org/pipermail/mrtrix-discussion/attachments/20150618/9cdd396f/attachment-0002.jpe>
-------------- next part --------------
A non-text attachment was scrubbed...
Name: m1-m1tckWithT1FiberNav.JPG
Type: image/jpeg
Size: 212293 bytes
Desc: m1-m1tckWithT1FiberNav.JPG
URL: <http://www.nitrc.org/pipermail/mrtrix-discussion/attachments/20150618/9cdd396f/attachment-0003.jpe>


More information about the Mrtrix-discussion mailing list